
DS ODONTOS es un consultorio dental en Tuxtla Gutiérrez, Chiapas con más de 8 años de experiencia. Fundado para satisfacer las necesidades dentales de nuestros pacientes en un solo lugar, serás atendido por especialistas en ortodoncia y endodoncia, así como en cirugía bucal para que logres tener la sonrisa que siempre quisiste.
ACERCA DE DS ODONTOS

Entre los procedimientos que podemos realizar se encuentran la cirugía de muelas del juicio y la colocación de implantes dentales, prótesis y resinas, por mencionar los más destacados. Gracias a esto puedes estar seguro de que tenemos las soluciones adecuadas para cualquier padecimiento bucal que tengas.
|
Nuestro consultorio dental tiene un ambiente y espacio cómodos, tanto para los pacientes como para sus acompañantes en el que contarás con Wifi, áreas verdes, áreas climatizadas y un amplio estacionamiento.
|
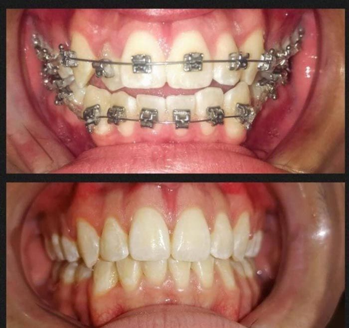
Materiales de calidad para
nuestros pacientes
Dra. Diana Sánchez Cervantes
Cédula Profesional: 8282907
Egresada de UNICACH
Cédula Especialidad Ortodoncia: 11571354
Diplomado en Estética Dental por IDNTA
Dr. Gilberto Torres Albores
Cédula Profesional: 8958183
Egresado UPAEP
Cédula Especialidad Cirugía Bucal: 11571342
Diplomado en Curso avanzado de Implantología por ANCIDENT
Realizamos cirugías de terceras molares o del juicio, colocación de implantes dentales, ortodoncia, prótesis, resinas y limpiezas ultrasónicas
|
Tenemos lo mejor en tratamientos dentales
Nos caracterizamos por el trato y comunicación que mantenemos con cada paciente, así como por la calidad de nuestro trabajo. La excelente preparación académica y profesionalismo son nuestra carta de presentación al brindar nuestros servicios de:
|
|
|
Mándanos un mensaje
Gracias por contactarnos.
Le responderemos tan pronto como sea posible.
Se ha producido un error al enviar su mensaje.
Inténtelo de nuevo más tarde.
¡Contacta a DS ODONTOS y solicita una cita con nuestros especialistas en ortodoncia y endodoncia!
|
|
Para una buena salud dental necesitas una atención profesional y de vanguardia. Agenda una cita y permítenos cuidar de tus dientes para que puedas lucir una bella sonrisa.
Dra. Diana Sánchez Cervantes
Cédula Profesional: 8282907
Egresada de UNICACH
Cédula Especialidad Ortodoncia: 11571354
Diplomado en Estética Dental por IDNTA
Dr. Gilberto Torres Albores
Cédula Profesional: 8958183
Egresado UPAEP
Cédula Especialidad Cirugía Bucal: 11571342
Diplomado en Curso avanzado de Implantología por ANCIDENT
Aceptamos las siguientes formas de pago:
AMEX
Cheque
Depósito
Efectivo
Mastercard
Paypal
Transferencia
Vales
Visa
Tarjeta de Crédito
Tarjeta de Débito
Oxxo
SPEI
Claro pay
Samsung pay
CoDi
Apple pay
Baz
Mercado pago
Seven Eleven
Carnet


















